近日,盐碱水域养殖品种开发与利用科技创新团队赵志刚、罗亮等人开展的“施氏鲟个体生态学研究”取得新进展,相关研究成果“The effects of temperature changes on the isozyme and Hsp70 levels of the Amur sturgeon, Acipenser schrenckii, at two acclimation temperatures”发表在JCR 1区杂志《Aquaculture》(IF:4.242)(https://doi.org/10.1016/j.aquaculture.2021.737743)。
温度变化是水产动物在养殖过程中经常面临的环境胁迫因子。该研究分别在高温驯化和低温驯化条件下,从热休克蛋白Hsp70相对表达量变化、同工酶酶谱表达及活性变化等层面揭示了施氏鲟在变温环境下的生理学响应机制。该研究丰富了鲟科鱼类个体生态学基础理论,对其养殖生产具有重要的指导意义。

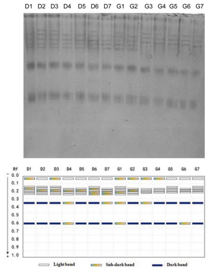
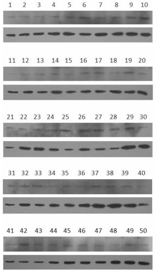
图1 不同变温条件下施氏鲟肌肉Hsp70蛋白相对表达量 图2 不同变温条件下施氏鲟肌肉同工酶酶谱表达